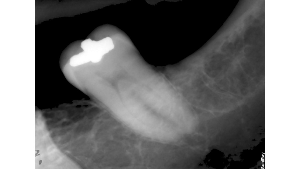
This is a “garden variety” endo. The best time to refer a case to an endodontist with a microscope is before the pulp has been touched. That way, the endodontist can control how much of tooth structure is removed to complete the endo. In this case, I had to chase all the cracks before restoring










