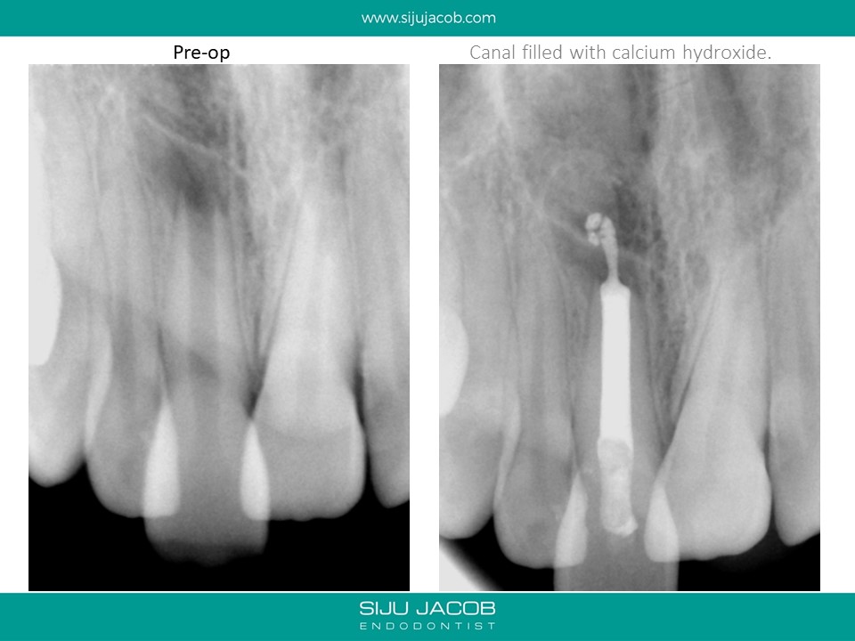
This was one of the first apexification cases i did. I started this case before i purchased a microscope (and I wasn’t using MTA at that time). I packed the canal with a thick Iodoform + Calcium hydroxide (Metapex). By the time the patient came back after a year, I had a microscope and it was fascinating to Microscopically observe the apical barrier that had formed.





